척추 압박골절, 허리 통증 지속된다면? “보조기·성형술 치료 고려”

척추 압박골절은 척추체가 위·아래에서 누르는 힘을 버티지 못해 납작하게 찌그러지는 손상이다. 금이 가거나 완전히 분리되는 일반 골절과 달리, 스펀지가 주저앉듯 뼈 내부의 해면골이 붕괴되면서 높이가 낮아지고 전방 쐐기 형태로 변형되기 쉽다.

 

서울바른세상병원 신경외과 배장호 원장에 따르면 원인은 크게 두 갈래다. 그는 “골다공증으로 뼈 강도가 떨어진 상태에서 사소한 충격과 낙상·교통사고·등산 중 미끄러짐 같은 외상이 대표적 원인”이라고 말했다.

특히 폐경 이후 여성과 고령층에서 위험이 높고, 활동량이 줄어 근력이 떨어지는 환절기에는 낙상과 함께 발생 빈도가 증가한다.

 

증상은 등이나 허리의 국소적이고 날카로운 통증이 핵심이다. 자세를 바꾸거나 기침할 때 통증이 심해지고, 눕거나 앉은 자세에서 돌아눕기가 어렵다. 통증은 흉복부나 엉덩이로 번질 수 있으며, 시간이 지나면 몸이 앞으로 굽는 후만 변형이 진행될 수 있다.

 

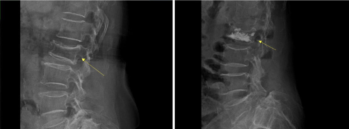
진단은 단순 X선으로 척추체의 높이 감소와 쐐기 변형 여부를 확인하고, MRI로 골수부종과 신경 압박 여부를 평가한다. 골밀도검사를 통해 골다공증 여부를 확인해 재골절 위험을 줄이기 위한 약물치료 계획을 세운다.

 

배 원장에 따르면 치료는 통증 강도와 골절 안정성을 고려해 단계적으로 접근한다. 초기에는 침상안정과 약물치료로 통증을 조절하고, 물리치료는 통증 관리 중심으로 진행한다. 보조기(TLSO)는 통증 감소와 변형 억제에 도움이 되며, 착용 기간은 6~12주 내외다. 대부분 2~3주 내 호전되지만, 통증이 지속되면 시술적 치료를 고려한다는 게 배원장의 설명이다.

보존적 치료에도 호전이 없거나 통증이 심할 경우 척추체 성형술이 대안이 된다. 국소마취하에 특수 바늘을 골절 부위에 삽입해 골시멘트를 주입, 척추체를 안정화하는 방식이다. 풍선복원술은 함몰된 공간을 들어 올린 뒤 시멘트를 주입해 높이를 회복시키는 방법이다.

 

시술 후에는 2~3개월간 허리 과신전·과굴곡을 피하고 무거운 물건 들기를 자제한다. 보조기 착용을 점차 줄이며 코어 근육 강화와 균형 훈련으로 회복을 돕는다. 골다공증이 동반됐다면 비타민 D, 칼슘 보충과 약물치료가 필수다. 장기 침상 생활은 합병증 위험을 높이므로 조기 재활이 중요하다. 예방은 낙상과 골다공증 관리가 핵심이다. 보폭을 작게 하고 발바닥 전체로 디디는 습관을 유지하며, 주 3회 이상 근력·균형 운동으로 뼈를 강화한다. 햇빛 노출로 비타민 D를 보충하고, 음식으로 부족할 때는 보충제를 활용한다.

 

배장호 원장은 “압박골절은 시간이 해결해 주는 단순한 ‘삐끗’이 아니다. 초기 통증 조절과 안정화, 조기 보행·재활, 그리고 골다공증에 대한 근본 치료가 함께 이뤄져야 재발과 변형을 막을 수 있다. 보존적 치료로 호전되지 않으면 척추체 성형술을 통해 빠르게 일상으로 복귀하는 것이 중요하다.”라고 말했다.

 

정희원 기자 happy1@segye.com

[ⓒ 세계비즈앤스포츠월드 & segyebiz.com, 무단전재 및 재배포 금지]