극심한 무릎 통증, 퇴행성 관절염 신호?… 인공관절 치환술, 병원 치료 단계는?

극심한 무릎 통증으로 병원을 찾는 환자들 가운데 상당수는 퇴행성 관절염을 진단받는다. 퇴행성 관절염은 관절을 보호하는 연골이 점차 닳아 없어지면서 염증과 통증, 관절 변형을 유발하는 질환이다.

 

과거에는 노년층의 질환으로 여겨졌지만, 최근에는 노화뿐 아니라 체중 증가, 다리 정렬 이상, 잘못된 생활 습관 등으로 비교적 젊은 연령대에서도 발생 빈도가 늘고 있다.

 

퇴행성 관절염의 특징은 초기에는 증상이 거의 없다가 연골 손상이 상당히 진행된 이후 통증이 본격적으로 나타난다는 점이다.

 

평지를 걸어도 무릎이 아프거나 계단을 오르내릴 때 통증이 심해지고, 오래 서 있거나 활동 후에는 붓기와 열감이 동반되기도 한다. 진행될수록 무릎이 뻣뻣해지고 움직일 때 소리가 나며, 심한 경우 보행 자체가 어려워진다.

 

무릎 퇴행성 관절염은 보통 1기부터 4기까지로 구분한다. 1기에는 약물치료와 물리치료, 생활 습관 교정으로 증상 조절이 가능하다. 2~3기에는 연골 손상이 진행되면서 통증이 반복돼 관절 내 주사치료와 같은 비수술적 치료가 필요해진다. 이 시기에는 통증 조절과 함께 체중 관리와 근력 강화가 중요하다. 3~4기로 진행되면 연골 소실과 관절 변형이 뚜렷해져 수술적 치료를 고려하게 된다.

 

퇴행성 관절염이 진행될수록 다리 정렬이 무너지면서 O다리 변형이 동반되는 경우가 많다. 특히 무릎 안쪽 관절만 심하게 닳은 경우에는 체중이 안쪽으로 집중돼 통증이 악화된다. 이런 경우 연령과 활동량을 고려해 O다리 교정술인 근위경골절골술을 시행하면 체중 부하 축을 바꿔 관절염 진행을 늦출 수 있다.

 

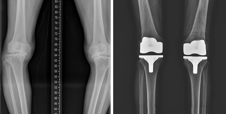
반면 연골 손상이 심해 일상생활이 어려운 경우에는 인공관절 수술이 필요하다. 안쪽 관절만 손상된 경우에는 인공관절 부분치환술을, 무릎 전체 관절의 퇴행이 심한 경우에는 인공관절 전 치환술을 시행한다. 부분치환술은 손상된 부위만 교체해 회복이 비교적 빠르다는 장점이 있으며, 전 치환술은 관절 전체를 교체해 통증을 근본적으로 해결하는 수술이다.

인공관절 치환술은 손상된 관절면을 정교하게 절삭한 뒤 금속 인공관절과 특수 삽입물을 삽입해 관절 기능을 회복시키는 방식으로 진행된다. 수술 후에는 통증 감소와 함께 다리 정렬이 교정돼 보행 기능이 개선된다. 다만 수술 결과를 좌우하는 것은 수술 이후의 재활이다.

 

수술 후에는 감염과 혈전 예방에 주의해야 하며, 의료진의 지시에 따라 단계적인 재활운동을 시행하는 것이 중요하다. 초기에는 관절 가동범위 회복과 근육 활성화에 집중하고, 이후 보행 훈련과 근력 강화 운동을 병행한다. 걷기나 수영처럼 무릎 부담이 적은 운동은 회복에 도움이 된다.

 

퇴행성 관절염 예방을 위해서는 체중 관리와 함께 무릎에 부담을 주는 자세를 피하는 것이 중요하다. 쪼그려 앉는 습관을 줄이고, 허벅지와 엉덩이 근육을 강화하는 운동을 꾸준히 시행하면 관절에 가해지는 부담을 줄일 수 있다.

 

임홍철 서울바른세상병원 관절클리닉 원장은 “퇴행성 관절염은 단계에 따라 치료 전략이 달라지는 질환”이라며 “초기에는 보존적 치료로 관리가 가능하지만, 중·말기에는 근위경골절골술이나 인공관절 부분·전 치환술 등 환자 상태에 맞는 치료 선택이 중요하다. 정확한 진단과 체계적인 치료, 재활이 병행돼야 만족도 높은 결과를 기대할 수 있다”고 말했다.

 

정희원 기자 happy1@segye.com

[ⓒ 세계비즈앤스포츠월드 & segyebiz.com, 무단전재 및 재배포 금지]